They are typically placed on the visible surface of the teeth, and they can produce reasonably accurate tooth movements. But since they are stock-made and not customised for every patient, finishing adjustments are often required to achieve optimal aesthetic and functional outcomes.
Treatment with train tracks usually starts when all or most permanent teeth have erupted; this is generally around 11-13 for girls, and 12-14 for boys, although wide variations are prevalent. On average, treatment with a fixed brace lasts around 22 months, but this can vary considerably. Active treatment with any type of fixed braces is always followed by retention protocol.
It can get confusing with many types and variations of fixed braces available to patients. The excellent news is that they all essentially perform the same function; the differences are mainly in how they look and where they are placed on the teeth. Only lingual braces (placed on the back surface of the teeth) are clinically more accurate because they are usually custom-made. Still, scientific evidence does not substantiate all other claims by various brands or manufacturers of conventional fixed braces about faster or superior results.
All types of fixed braces are composed of wires and brackets. As the teeth get straighter, larger and stiffer wires are inserted, which patients call ‘braces tightening’.
Metal fixed braces
Made of stainless steel, they are very durable and cost-effective; hence they are the most used in children and adolescents. They can also be fun by adding coloured elastic “O” rings which can be changed on every adjustment visit.

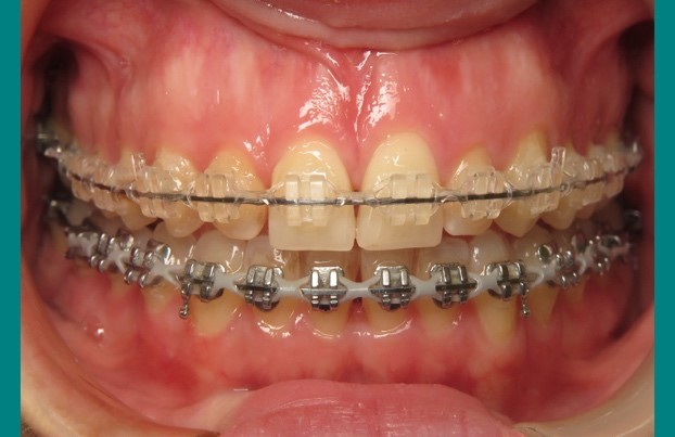
Instead of stainless steel, the brackets are made of ceramic material, which renders them more discreet than metal braces. With ceramic braces, the wires are often ligated with clear elastic “O” rings. These rings can occasionally stain and discolour, which will compromise the appearance. Alternatively, steel ligatures can be used which do not stain. Finally, ceramic brackets are slightly more challenging to remove than metal brackets, but this is unlikely to pose any problems.

Instead of ligating the wires with elastic “O” rings, self-ligating brackets utilise an integrated clip mechanism, which allows the sliding of the wire with less friction. Still, there is no evidence that this influences the speed of tooth movement compared to conventional fixed braces ligated with elastic “O” rings. I do not routinely use self-ligating brackets.

“I'm very happy with my treatment and results. I was delighted with Dr. Erfan Salloum's attention to detail, and so happy he took the time...”
“Over the moon with the results from my orthodontic treatment at Dublin Orthodontics. I can not speak more highly of Dr. Erfan Salloum and his...”