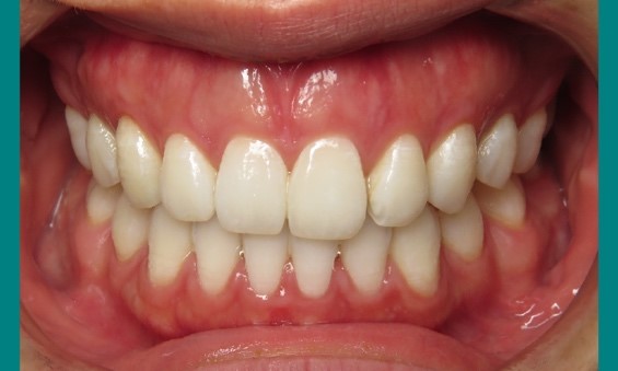
Hence when it comes to invisible orthodontics, lingual braces are the ultimate option.

Less than 5% of orthodontists have the clinical skill and the knowledge to use lingual appliances confidently. There is also a trend for some clinicians, unfamiliar with the lingual orthodontic technique, to put patients off having lingual braces and pursue them toward clear aligner therapy.
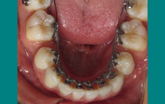
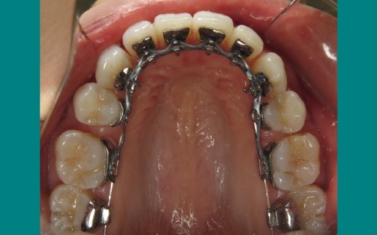
Contemporary lingual appliances such as the Win system (https://www.lingualsystems.co.uk) are comfortable, with levels of discomfort that are not far off conventional fixed braces. Issues like tongue soreness and speech change typically last no more than two weeks and are manageable with the appropriate instructions.
Lingual braces are suitable for everyone, children, adolescents, and adults, especially in complex bite problems where clear aligners therapy falls short. Lingual braces are also superior to conventional fixed braces because they are custom-made with a more accurate and intimate fit between the wires and the brackets slot.
Besides being completely invisible, another significant health advantage of lingual braces, which is not often discussed, is that they are ten times less likely to cause white spot lesions and unsightly decalcification markings on the teeth when the brushing is suboptimal or eating the wrong foods.
I have specialised post-graduate training in lingual orthodontics. I have attended many courses with Professor Dirk Wichmann, the founder of Incognito and Win lingual systems. I am also undergoing a master’s degree in lingual orthodontics from the University of Padova/Italy under Professor Dirk Wichmann.
In 2021, I was acknowledged by Win lingual systems and Professor Wichmann as one of the world’s top win practitioners. I was awarded their silver status clinician.
If you are considering lingual orthodontic treatment, know that you are in safe hands and will receive world-class treatment. Do not hesitate to contact me for a consultation.
“I'm very happy with my treatment and results. I was delighted with Dr. Erfan Salloum's attention to detail, and so happy he took the time...”
“Over the moon with the results from my orthodontic treatment at Dublin Orthodontics. I can not speak more highly of Dr. Erfan Salloum and his...”